|
Главная
››› Новости
››› В прошедшую субботу в г. Фрязино в рамках дня открытых дверей, посвящённому здоровым почкам, пришли обследоваться 22 человека
В прошедшую субботу в г. Фрязино в рамках дня открытых дверей, посвящённому здоровым почкам, пришли обследоваться 22 человека
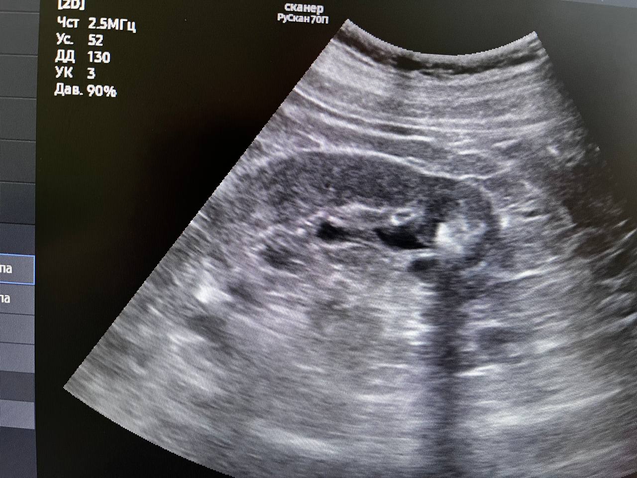
В минувшую субботу в день здоровой почки проверить своё здоровье пришли 22 человека. У двоих из них выявлены серьёзные патологии при полном отсутствии жалоб. Остальные пациенты были с мелкими кистами почек до 10мм и "песочком". Всем выполнено УЗИ, выданы направления на лабораторные обследования. Так же были пациенты без патологии, пришедшие для комплексного обследования со стороны мочевыделительной системы, выполнено УЗИ, выданы направления на общий анализ мочи "У одного пациента - мочекаменная болезнь, чашечные камни с обеих сторон до 15мм. Направлен на МСКТ для установления точной локализации и положения камней с целью подготовки для плановой госпитализации и оперативного лечения. У второго пациента выявлено образование в правой почке до 12мм. Пациент направлен на МСКТ для верификации", - уточнил врач-уролог поликлиники для взрослых обособленного подразделения им. М.В. Гольца Щёлковской больницы в г. Фрязино Владимир Орленко Щёлковская больница проводит тематические дни открытых дверей на регулярной основе, благодаря чему жители городских округов могут проверить своё здоровье без ожидания свободной записи к узким специалистам. |
|
|
| |

